
"Whether it's investigating the financials of Elon Musk's pro-Trump PAC or producing our latest documentary, 'The A Word', which shines a light on the American women fighting for reproductive rights, we know how important it is to parse out the facts from the messaging. At such a critical moment in US history, we need reporters on the ground. Your donation allows us to keep sending journalists to speak to both sides of the story."
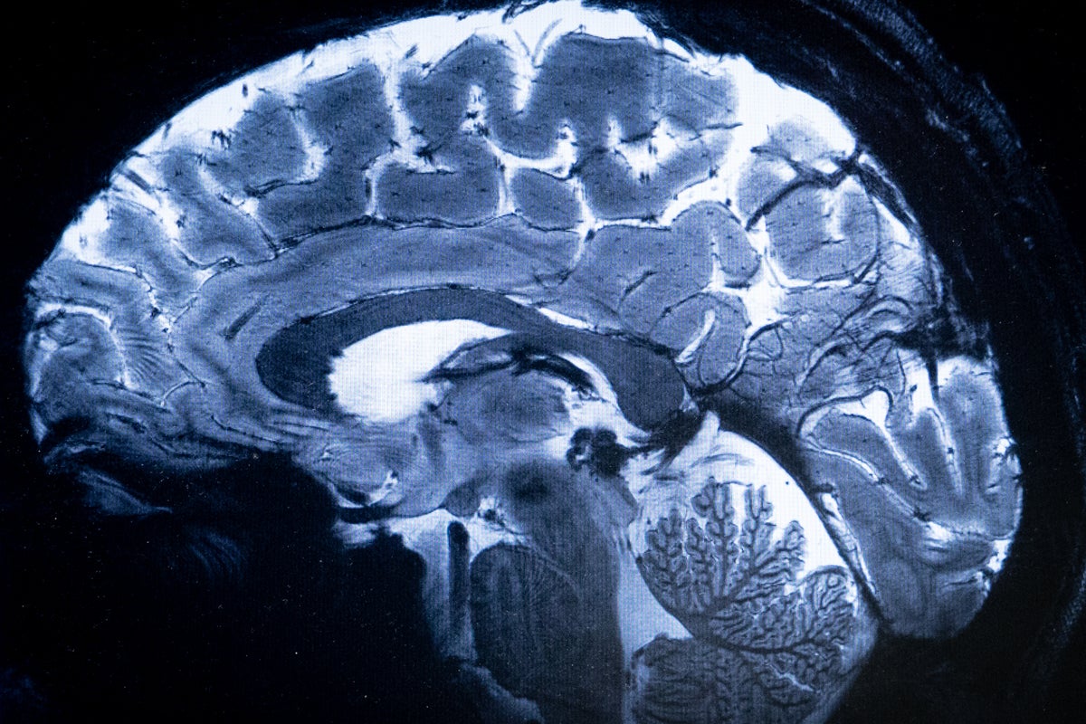
"Brains with any of the four conditions tended to have a reduced surface area in regions responsible for processing emotions, responding to threats and maintaining awareness of bodily states. The University of Bath conducted the largest international study of its kind and analysed brain scans from around 9,000 children and young people, with approximately half of them diagnosed with a mental health condition."
The University of Bath analysed brain scans from about 9,000 children and young people, roughly half diagnosed with a mental health condition. Young people with anxiety, depression, ADHD and conduct disorder shared similar structural brain changes. Brains with any of the four conditions showed reduced cortical surface area in regions involved in processing emotions, responding to threats and maintaining awareness of bodily states. The findings were published in Biological Psychiatry and suggest mental health disorders should not be studied in isolation. Simultaneous analysis of multiple conditions may enable treatment strategies that address overlapping neurobiological features.
Read at www.independent.co.uk
Unable to calculate read time
Collection
[
|
...
]